Radiografías para displasia de codo
- ¿Cuando?
- Realizamos la primera radiografía de control entre los 4 y los 6 meses de edad*
- Para un informe definitivo de displasia (AVEPA): a los 12 meses de edad
- ¿Porqué tan pronto?
- Porqué existe una técnica quirúrgica preventiva, efectiva y mínimamente invasiva, que solo puede realizarse hasta los 6 meses de edad.
- ¿Como?
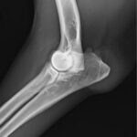
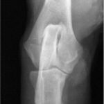
- A los 4-6 meses, si no hay ningún síntoma, es suficiente realizar una única radiografía mediolateral en posición neutra, o sea en 90-100º de flexión.
- Si hay síntomas (cojera), o si en la ML hay alteraciones (o si no estamos seguros) realizaremos siempre otra proyección mediolateral en flexión (45º) y una anteroposterior (lo ideal: ligeramente oblicua con 15 grados de pronación, o sea rotación interna)
- A los 12 meses de edad, para el informe definitivo, necesitaremos SIEMPRE una pr. mediolateral en extensión no forzada 110-140º, y una anteroposterior estándar.
- ¿Es necesario sedar al paciente?
- Para la radiografía mediolateral preventiva de los 4 meses – si no hay síntomas – puede no ser necesario, dependiendo del carácter del paciente. Sin embargo, se recomienda realizar el control de la displasia de codo junto al control de la displasia de cadera, y para esta última radiografía sí que es necesario sedar el paciente, siempre.
- Para realizar una proyección anteroposterior del codo es SIEMPRE necesario sedar el paciente.
- ¿Qué datos hay que facilitar junto con la radiografía?
- Para la preventiva (4 meses) solo marcar derecha-izquierda. No se trata de un informe oficial.
- Para la definitiva (con informe oficial) hay que indicar
- Nombre del animal
- Fecha Nacimiento
- Fecha Radiografía
- Apellido del propietario
- Apellido del veterinario
- Nº Microchip
- Número de L.O.E. (si existe)
- Cualquier radiografía no acompañada por esta información, no podrá ser utilizada para la realización de un informe oficial.
- La radiografía convencional (película) es válida?
- Lamentablemente no, ya no es válida. La radiografía debe ser digital.
* Se recomienda realizar juntos los controles para displasia de codo y caderas a los 4 meses de edad
Radiografías para displasia de cadera:
- ¿Cuando?
- La primera radiografía de control a los 4 meses de edad
- La radiografía definitiva a los 12 meses (15 o 18 en razas gigantes)
- ¿Porqué tan pronto?
- Porqué existe una técnica quirúrgica preventiva, efectiva y mínimamente invasiva, que solo puede realizarse hasta los 5 meses de edad (sinfisiodesis púbica).
- ¿Como?
- Es suficiente una única radiografía en posición ventrodorsal con extremidades extendidas. Las característica necesarias son:
- Fémures paralelos entre sí y paralelos al raquis.
- Rótula en el centro de la tróclea femoral (debe ser visible!)
- Completa simetría de la pelvis (observar agujeros y alas ilíacas). Observar como el fémur corta el borde caudolateral del isquion.
- Marcar derecha e izquierda de forma inequivocable
- Para un informe oficial (AVEPA) hay que proporcionar estos datos:
- Nombre del animal
- Fecha de nacimiento
- Fecha de la radiografía
- Apellido del propietario
- Apellido del veterinario
- Nº Microchip
- Número de L.O.E. (si existe)
- Es suficiente una única radiografía en posición ventrodorsal con extremidades extendidas. Las característica necesarias son:

Véanse estos enlaces de la Federación Canina Internacional y AVEPA
Requisitos de la FCI para la detección de la displasia de cadera
Procedimiento radiográfico para la evaluación de la displasia de cadera (FCI)



